Categories
Procedure
Merit Endoscopy’s state-of-the-art stent technology enables airway management in the central airway and lobar and segmental bronchi, for the treatment of tracheobronchial strictures produced by malignant neoplasms.
Merit Medical offers a full range of tools to support the safe, effective treatment of pulmonary strictures. Our balloon dilation catheters are designed for controlled expansion in the tracheobronchial tree, helping restore airway patency with precision. Paired with flexible guidewires and low-profile introducers, these devices are built to navigate complex anatomy with ease. Each component is optimized to enhance visibility and control for bronchoscopy or fluoroscopy-guided procedures. Streamline workflow and reducing patient trauma with solutions that empower interventional pulmonology teams to deliver efficient, high-quality care for airway obstruction management.

The AERO Fully Covered Tracheobronchial Stent is delivered to the target site by means of a proprietary, flexible, over-the-wire delivery system.
The AEROmini Fully Covered Tracheobronchial Stent builds on the strengths of the original AERO platform. The stent is delivered to the target site by means of an optimized low profile, through-the-scope or over-the-wire delivery system.
AERO DV promotes accurate placement under direct bronchoscopic visualization without the need for fluoroscopic or wire guidance.
The novel design of the AEROSIZER enables length and diameter measurement accuracy. A low cost alternative to radiology based airway sizing.
Offering a new standard in accuracy and control, the Elation Pulmonary Balloon is used to endoscopically dilate strictures of the trachea and bronchi.
The all-in-one, easy-to-use design of our 60 ml inflation device facilitates complete and rapid deflation, reducing procedure time and expense.
A guide wire specifically designed for interventional pulmonary and gastrointestinal procedures, the MAXXWIRE Guide Wires are offered in lengths of 180cm and 260cm with Super Stiff flexibility.
Download valuable resources about stricture management to help support your practice.
Dive into a series of case studies by Dr. Deepankar Sharma,
Director of Interventional Pulmonology,
Columbus Regional Health in Columbus, Indiana.
A 48-year-old male with a medical history significant for diabetes, severe COPD, and 40 pack years of smoking, presented with a progressive cough and shortness of breath over a 3-month duration.
A 75-year-old woman presents with moderate COPD and recurrent metastatic breast cancer with a complete response to treatment. She then developed a sub-acute worsening shortness of breath and hemoptysis of a 2-month duration.
A 68-year-old man with known adenocarcinoma of the rectum, failed to complete a recommended treatment in the past, presented with gradual worsening of shortness of breath.
Dr. Cho is Assistant Professor of Medicine, Interventional Pulmonary Dept., Pulmonary, Allergy, Critical Care and Sleep Medicine,
Earl E Bakken Medical Devices Center,
University of Minnesota, M-Health.
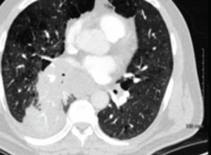
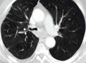
A 60-year-old woman with a large left hilar mass presented to the emergency room with worsening dyspnea. Advanced imaging demonstrated total occlusion of the left mainstem (LM) bronchus which was confirmed with direct visualization.
A 60-year-old woman with a large left hilar mass presented to the emergency room with worsening dyspnea. Advanced imaging demonstrated total occlusion of the left mainstem (LM) bronchus which was confirmed with direct visualization.
Designed and taught by physicians, Merit’s immersive education courses include didactic presentations, taped or live cases, and hands-on training. We believe that a successful program provides an enjoyable education experience, as well as the clinical support needed for you to implement your learning once you return to your practice.
| COURSE | WHO SHOULD ATTEND? | AGENDA HIGHLIGHTS |
| Discover the latest advancements in airways stenting. This one-hour educational workshop will focus on the utilization of unique airway stenting technology to address common airway strictures both in the trachea and central airways. Expert faculty will provide participants with a didactic learning experience utilizing innovative stenting technology from both rigid and flexible bronchoscopic methods. | Pulmonologists and Thoracic Surgeons who have the clinical capacity to perform airway stenting, and who want to gain knowledge about all aspects of the procedure, from stenting guidelines to challenging case experiences. A minimum of one stent case a week is strongly recommended. |
|
Prepare your patients for the procedure and the tracheal or bronchial stent placement by outlining the procedure and explaining the possible risks. This brochure will go over preparing for the procedure, what happens during and after the procedure, and things to be aware of.